最佳回答
本文由作者推荐
简要回答
奥密克戎导致白肺的概率其实是不太高的,当然在现如今全国上下有众多人群感染了奥秘克隆,他们在其中有部分人士在接受治疗的时候,直接通过诊断发现为肺炎,也有部分人群直接诊断为白肺,其中有部分人是觉得白肺其实跟新冠感染的原始毒株德尔塔毒株有一定的联系。
详细内容
- 01
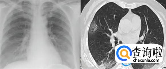
白肺是什么
白肺主要是指肺部已经出现了重度的感染,肺泡当中有炎症或者是感染,肺泡已经生出了渗出液体和炎性的细胞。在通过CT或者是X光线的时候,所呈现出的白色区域,白色区域一般达到70%~80%,在临床上才会称之为白肺。
- 02
我国现如今流行的毒株
根据大量的研究发现,我国在短时间内,由于奥密克戎的冲击,很多人已经出现了感染的情况,其中有部分患者直接是肺炎患者,但现如今流行的毒株其实是奥密克戎毒株,并不是之前的德尔塔毒株和原始毒株。
- 03
如何预防白肺
其实患者在感染新冠之后要对症进行治疗,比如发高烧应该想方设法的降低体温,如果三天高烧不退,此时应该及时的去医院,另外也有部分患者咳嗽已经严重影响到日常的生活,也需要引起注意。
广告位
点击排行
- 2 排行
- 3 排行
- 4 排行
- 5 排行
- 6 排行
- 7 排行
- 8 排行
- 9 排行
- 10 排行
热点追踪
广告位

