最佳回答
本文由作者推荐
详细内容
- 01
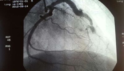
心脏造影是诊断冠心病的金标准,心脏造影检查是将一根很细的导管插入到主动脉,然后通过导管前面的小口向主动脉血液注射造影剂,可以将血管流动的造影剂显示在屏幕中,从而显示出心脏以及血管的形态。

心脏造影有冠状动脉造影和心脏造影。冠脉造影就是用一根细如发丝的导管沿着桡动脉(手腕处)或股动脉(大腿处)的人为入口延行到心脏的冠状动脉开口处,然后把造影剂(在X光下显影)注入冠状动脉。

冠状动脉内部的形态就可以显示出来,但基本上不能通过这个检查来了解心脏形态的,主要还是了解冠脉的内部形态及冠脉内的血流速度。

心脏造影是有创伤性的。需要在住院以后,完成术前的相关检查,对手术进行适应症和安全性的评估,然后在心脏导管室进行手术。手术的步骤首先是动脉穿刺,包括桡动脉穿刺或者股动脉穿刺。其次是心血管造影,主要是显示冠状动脉有没有狭窄或者堵塞。造影结束后抽出导管,然后拔除动脉鞘管,如果是桡动脉穿刺,可以直接拔除,如果是股动脉穿刺需要返回病房后约4-6个小时再拔除。拔除鞘管后还要对穿刺点进行压迫止血,观察。
手术的结果一般分为三种:一是冠状动脉正常,可以排除冠心病;二是血管狭窄,根据狭窄的程度可以给予药物治疗、支架置入;第三种情况就是多支血管狭窄特别严重的,不能再进行支架植入,可以选择冠状动脉搭桥。
广告位
点击排行
- 2 排行
- 3 排行
- 4 排行
- 5 排行
- 6 排行
- 7 排行
- 8 排行
- 9 排行
- 10 排行
热点追踪
广告位


