最佳回答
本文由作者推荐
简要回答

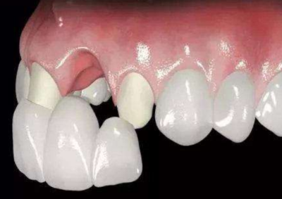
门缝有牙,对于女生来说还是很影响美观的,都不敢大笑。这个时候该怎么办呢?下面来给大家提供具体的解决方法。
详细内容
详细内容
- 01
烤瓷牙矫正:烤瓷牙牙齿矫正它是先用合金制成金属基底,再在其表面覆盖与天然牙相似的低熔瓷粉,在真空高温烤瓷炉中烧结熔附而成,因而有金属的强度和烤瓷全冠的美观。它的特点是能恢复牙体的形态功能,抗折力强且颜色、外观逼真,表面光滑。所以也是很多人牙齿有缝隙的最终选择。

- 02
美容冠矫正:美容冠矫正比烤瓷牙更好,它是在传统烤瓷牙的基础上强调牙齿的美容效果,对错位牙、畸形牙的临床冠部分施以专业手段,最后用美容冠加以修复。具有美牙不拔牙,不戴牙套,无痛苦,时间短,牙齿坚固,多年后牙龈不会出现黑线等优点,从而达到终生有保障的美牙效果。

- 03
无托槽隐形矫正:无托槽隐形牙齿矫正,传统牙颌畸形矫正器是在牙齿上粘结称为托槽的小铁片,将矫正弓丝结扎上去,使牙齿发生移动,达到矫正的目的。隐形透明正畸是3D立体电脑技术,量身定制一系列近乎无法察觉的透明牙托来完成整个矫正疗程。矫正时间需要1年半到两年左右。

- 04
牙缝比较大,要保持口腔卫生,养成良好刷牙习惯。选择软毛牙刷、含氟牙膏为,必要时使用牙签、牙线以清理牙刷难以到达的位置,保持好口腔卫生。

- 05
此外,在在日常护理的时候,用牙线而不是牙签,可以很好地清除牙缝间的食物残渣和污垢。

广告位
点击排行
- 2 排行
- 3 排行
- 4 排行
- 5 排行
- 6 排行
- 7 排行
- 8 排行
- 9 排行
- 10 排行
广告位

